Dr Kaushik Hazratwala Blogs
Revolutionizing Public Sector Arthroplasty: The Townsville Short-Stay Success Story
Introduction
Elective joint replacement surgery in the Australian public hospital system has...
Anaesthesia for Hip and Knee Surgery
Before your joint replacement surgery, A/Prof Kosh will discuss anaesthesia with you. The...
What is Osteoarthritis?
Attached video explains simply what osteoarthritis is and how it manifests as a painful...
Evidence for Allograft use in ACL reconstruction
Ever wondered why you have to give up one body part in order to reconstruct another. This is...
New Patient Partner Programme- A move towards personalised rehabilitation
Queensland Lower Limb Clinic is offering all eligible Bupa, HCF, NIB and AHSA fund members...
Pacific Island Orthopaedic Association (PIOA)
I went to PNG to help my colleague and friend Dr Desmond Soares with his initiative - the Pacific...
Do you need a Knee Replacement???
If you’re thinking about having knee replacement surgery, you’re in good company....
Patella-Femoral Joint Arthritis
Patellofemoral arthritis affects the underside of the patella (kneecap) and the channel-like...
Are you Fit for Surgery???
Like training for a marathon, ‘training’ for surgery by getting your body in better...
Antero-Lateral Ligament (ALL) Augmentation
The anterolateral ligament(ALL) is a ligament on the lateral aspect of the human...
Why do Gap Payment exist in Private insurance Surgery??
One of the most important components of hospital insurance is the cover for medical services...
Necessity is the Mother of Invention
A Patients Husband made this home made hand operated device after seeing it used in Hospital....
What Can Go Wrong with Knee Replacement????
Most knee joint operations are problem-free but about 1 person in every 20 may have...
The emotional impact of AHPRA complaints by patients
My world fell apart' - doctor describes her blind fear when AHPRA came knocking
Melbourne doctor...
10 Tips for those caring for Orthopaedic Patients.
Recovering from hip and knee replacement surgery can be challenging, especially without the...
Naturally Aligned Computer Assisted Knee Replacement
Computer assisted Surgery (CAS) has now been around for almost 20 yrs. in various forms. With the...
Obesity and Joint Replacement Surgery
Obesity is major problem facing our affluent society. In 2014-2015, a staggering 63.4...
Sleep Apnea Must be Treated
The life-threatening consequences of obstructive sleep apnoea are caused by a lack of oxygen in...
Townsville surgeon wants health providers enforce smoking laws
OLIVIA GRACE-CURRAN, Townsville Bulletin
March 20, 2018 12:00am
SMOKERS are being urged to...
Computer Navigation is for the Outliers!!!!!!
By Dr Kaushik Hazratwala, Orthopaedic Surgeon,
Director – Orthopaedic Research Institute of...
Platelet Rich Plasma (PRP) - Latest Evidence or Lack of !!!
This is an abstract from the recently published review article in the American JBJS.
It...
Who is more likely to have anterior patella pain (knee cap)?
The patella is located anterior (in front) of the femur in the femoral trochlear groove, and...
How old is too Young for Hip and knee arthroplasty
Nearly every day I consult I would see a patient in their 40's or early 50's with bone on bone...
Issues to consider with health insurance in Australia
Health insurance issues in Australia - Dr Kaushik Hazratwala
One of the most important...
Alternate Alignment Technique for Total Knee Replacement
Alternate alignment is gaining popularity amongst orthopaedic surgeons. The alternate alignment...
Lateral Hip Pain (Outer)
The most common reason for Lateral (outer) hip pain is Trochanteric Bursitis.
This is...
Chronic Ankle Instability
Chronic ankle instability is a condition characterized by a recurring giving way of the outer...
5 Steps to Finding the Perfect Life after Knee Replacement
Total knee replacement has a very high success rate in relieving pain and bearing upon the...
Is Hip replacement the best option for hip pain?
If you are suffering from a hip pain for a long time. You should consult with your nearby...
Early Mobilisation reduces the risk of complications in Ankle Fracture Fixation Surgery
Ankle fractures can occur during sporting activities, or as a result of a fall. Fractures can...
Orthopaedic Research Institute of Queensland (ORIQL)
Orthopaedic Research Institute of Queensland (ORIQL) is a Health Promotions Charity organisation...
Know all things about Knee Replacement Surgery Procedure.
If you are considering a Total Knee Replacement or are having one soon, this video will help...
Total Knee Replacement vs Resurfacing
With the invent of new surgical techniques and instruments Knee Replacements can now be performed...
Baker's Cyst of The Knee
A Baker's cyst is a fluid-filled cyst that causes a bulge and a feeling of tightness behind...
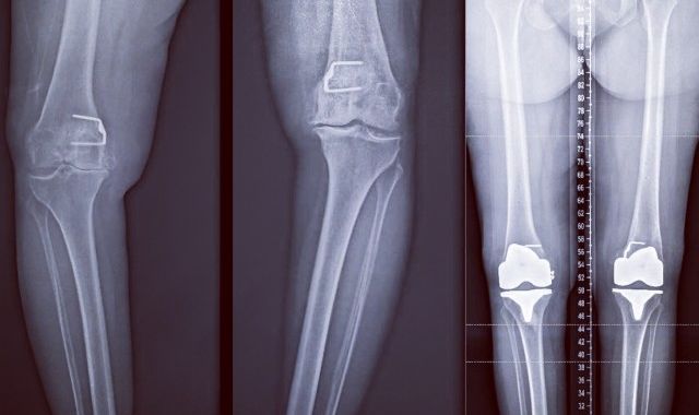
Bilateral (2) Hip and Knee Replacements
Many patients suffer from arthritis in 2 large joints at the same time that require joint...
ACL rupture and associated structural injuries of the knee
The ACL (anterior cruciate ligament) is part of a complicated network of ligaments that help...
Alternate Knee Alignment Technique - Dr Kaushik Hazratwala
It is important to understand that there are multiple bony cuts that are delicately balanced with...
Computer assisted Knee Arthroplasty - Dr. Kaushik Hazratwala
Knee replacements have been traditionally been done by bony alignment jigs. That is the surgeon...







































