Skip to main content

Patella-Femoral Joint Arthritis

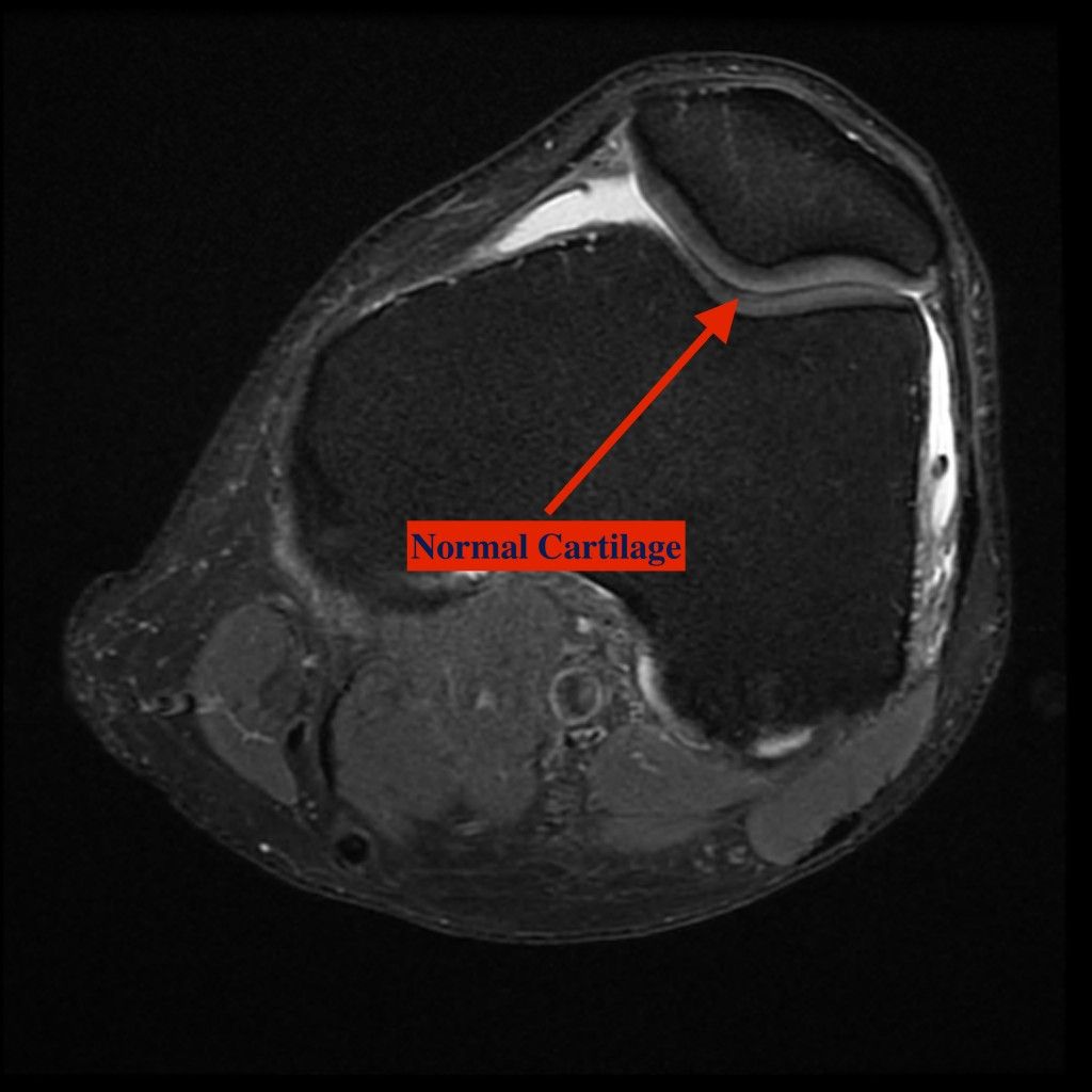
Patellofemoral arthritis affects the underside of the patella (kneecap) and the channel-like groove in the femur (thighbone) that the patella rests in. It causes pain in the front of your knee and can make it difficult to kneel, squat, and climb and descend stairs

Patellofemoral arthritis occurs when the articular cartilage along the trochlear groove and on the underside of the patella wears down and becomes inflamed. When cartilage wears away, it becomes frayed and, when the wear is severe, the underlying bone may become exposed. Moving the bones along this rough surface may be painful.

https://tsvllc.com.au/f81af80a-c462-4351-955f-982a8a8ce43c" alt="A picture containing indoor Description automatically generated" width="206" height="206" /> https://tsvllc.com.au/855d837b-60c5-4c8f-a3b7-fa6359fa9e4c" alt="A picture containing indoor, black, red Description automatically generated" width="206" height="206" />

Treatment

Nonsurgical Treatment

Treatment of patellofemoral arthritis is similar to the treatment of knee arthritis in general. Most cases can be treated without surgery. Nonsurgical options include:

Nonsteroidal anti-inflammatory drugs (NSAIDs). Drugs like aspirin, naproxen, and ibuprofen reduce both pain and swelling.

Exercise. Regular exercise can decrease stiffness and strengthen the muscles that support your knee. Patients who have patellofemoral arthritis should try to avoid activities that put stress on the front of the knee, such as squatting. If you regularly do high-impact exercise, switching to low-impact activities will put less stress on your knee. Walking and swimming are good low-impact options.

Activity modification. In many cases, avoiding activities that bring on symptoms — such as climbing stairs — will help relieve pain.

Weight loss. If you are overweight, losing just a few pounds can make a big difference in the amount of stress you place on your knee. Losing weight can also make it easier to move and maintain independence.

Physical therapy. Specific exercises can improve range-of-motion in your knee. Exercises to strengthen the quadriceps muscles will help relieve pressure on the kneecap when you straighten your leg. If an exercise causes pain, stop the exercise and talk to your doctor or physical therapist.

Cortisone (steroid) injections. Cortisone is a powerful anti-inflammatory medicine that can be injected directly into your knee.

Viscosupplementation. In this procedure, a substance is injected into the joint to improve the quality of the joint fluid.  The effectiveness of viscosupplementation in treating arthritis is unclear and continues to be studied by researchers.

 MRI_MUSC.SKEL_R_KNEE_0001.jpg

 MRI_MUSC.SKEL.L_KNEE_0001.jpg

Surgical Treatment

Surgery is an option when nonsurgical treatment has failed. Several types of surgical procedures are available.

Realignment. The soft tissues on either side of the kneecap are tightened or released to change the position of the kneecap in the trochlear groove. Usually for early stage disease

Cartilage grafting. Normal healthy cartilage tissue may be taken from another part of the knee or from a tissue bank to fill a hole in the articular cartilage. This procedure is typically considered only for younger patients who have small areas of cartilage damage.

Patellofemoral replacement. During this "partial" knee replacement, damaged bone and cartilage surfaces are removed and replaced with metal and polyethylene (plastic) components. A thin metal shield is used to resurface the trochlear groove at the end of the femur. A plastic “button” or cover is used to resurface the backside of the patella. These components are typically held to the bone with cement. Unfortunatly the results of isolated PFJ replacement is not as good as Total knee replacement. The fall back for a failed PFJR is a Total knee Repacement.

Total Knee Replacement.Usually a more predictable outcome in the older patient. Usually considered when other parts of the knee is also involved and just treating the Patello-femoral disease may not resolve all the symptoms.

 

Watch Video

Get In Touch

Please let us know your name.
Please let us know your email address.
Please let us know your phone number.
Please write a subject for your message.
Please let us know your message.